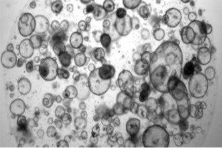
Cold Spring Harbor Laboratory (CSHL) is at the forefront of using organoid technology to study and treat cancer. Organoids are tiny 3D clusters of cells that are miniature versions of patients' tumors.
Now, CSHL Cancer Center Director David Tuveson and Matthew Weiss, a physician at Northwell Health, have found that pancreatic tumor organoids may help guide decisions about a patient's initial treatment before tumor-removal surgery. They piloted a rapid organoid screening test that can yield results in as early as a week.
Getting quick results is important because pancreatic cancer patients usually do best if they undergo chemotherapy to shrink their tumor prior to surgery, explains Lyudmyla Demyan, a lead author of the study. Demyan is a research fellow in Tuveson's lab and a surgeon at Northwell Health.
If the first round of chemotherapy is not effective, the patient may be switched to a different regimen. But, Demyan says, "You've already lost that critical window of opportunity to treat cancer. You're kind of losing grip on it—it's spreading very quickly."
The new study is part of an effort to expand organoids' role in improving clinical care. "Organoids enable us to recreate and recapitulate each patient's tumor," explains Amber Habowski, a postdoctoral fellow in the Tuveson lab and another lead author of the study.
"We then have a model system for each individual patient that we can test drugs on. The idea behind personalized medicine is that if the organoid responds really well, we can maybe predict the patient would also."
CSHL runs one of the largest cancer organoid facilities in the country, working on a wide range of cancers. Currently, it leads a clinical trial called Pancreatic Adenocarcinoma Signature Stratification for Treatment (PASS-01).
It is evaluating personalized therapy based on how individual patients' organoids respond to different chemotherapy treatments. The new pilot test may further optimize personalized chemotherapy treatments. Demyan hopes she will be able to use the test one day soon to help her patients.
For more information, visit www.cshl.edu
